So sánh Sứ nguyên khối (Monolithic) và Sứ đắp lớp (Layering): Ưu và nhược điểm.

So sánh Sứ nguyên khối (Monolithic) và Sứ đắp lớp (Layering): Ưu và nhược điểm.

0000-00-00 19

Trong phục hình răng sứ, việc lựa chọn giữa sứ nguyên khốisứ đắp lớp luôn là bài toán cân não đối với các bác sĩ lâm sàng. Mỗi loại phục hình đều có những ưu thế riêng biệt về độ bền cơ học và giá trị thẩm mỹ.

Hãy cùng iMed Dental Lab phân tích chi tiết để đưa ra lựa chọn phù hợp nhất cho từng ca lâm sàng.

1. Răng sứ nguyên khối (Monolithic) là gì?

Sứ nguyên khối (Monolithic) được chế tác hoàn toàn từ một khối vật liệu duy nhất (thường là Zirconia hoặc Lithium Disilicate - E.max) bằng công nghệ CAD/CAM. Sau khi tiện, răng chỉ cần nhuộm màu và nướng bóng.

Ưu điểm:

  • Độ bền cực cao: Nhờ cấu trúc đồng nhất, răng sứ nguyên khối có khả năng chịu lực nhai lớn (lên đến 1200MPa với Zirconia), không lo bong tróc hay mẻ lớp sứ bề mặt.
  • Mài răng tối thiểu: Cho phép sửa soạn cùi răng bảo tồn hơn do vật liệu có độ cứng cao ngay cả khi độ dày mỏng.
  • Độ chính xác tuyệt đối: Quy trình kỹ thuật số giúp khít sát đường hoàn tất.
    472403880_122253926990006399_6251522864264242434_n

Nhược điểm:

  • Thẩm mỹ tương đối: Độ xuyên sáng và hiệu ứng đa tầng màu sắc thường không sống động bằng sứ đắp lớp. Dễ có cảm giác "đục" nếu không được xử lý màu tốt.

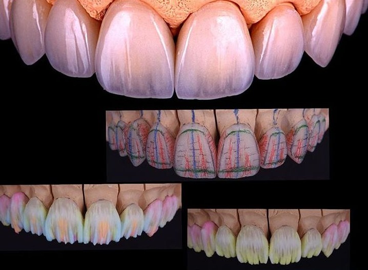
2. Răng sứ đắp lớp (Layering) là gì?

Sứ đắp lớp là loại phục hình có phần sườn (Zirconia, kim loại hoặc sứ cứng) bên trong, sau đó kỹ thuật viên sẽ đắp từng lớp sứ thẩm mỹ (Porcelain) lên trên để tạo hình và màu sắc.

Ưu điểm:

  • Thẩm mỹ đỉnh cao: Khả năng mô phỏng hoàn hảo độ trong mờ, vân răng và hiệu ứng ánh sáng như răng thật. Đây là lựa chọn số 1 cho vùng răng cửa.
  • Cá nhân hóa: Kỹ thuật viên có thể điều chỉnh màu sắc tinh tế theo từng đặc điểm riêng biệt của các răng lân cận.

Nhược điểm:

  • Nguy cơ mẻ sứ (Chipping): Do sự liên kết giữa lớp sườn và lớp sứ đắp, nếu lực nhai quá lớn hoặc kỹ thuật đắp không chuẩn, lớp sứ bề mặt có thể bị bong mẻ.
  • Yêu cầu mài răng nhiều hơn: Cần đủ không gian cho cả phần sườn và các lớp sứ đắp bên ngoài.
    70a1ef5b23fcae6a0c59c7ad8a7310ab

3. Bảng so sánh chi tiết

 

Tiêu chí

Sứ Nguyên Khối (Monolithic)

Sứ Đắp Lớp (Layering)

Chịu lực

Rất tốt (800 - 1200+ MPa)

Trung bình (Dễ mẻ lớp ngoài)

Thẩm mỹ

Khá (Tự nhiên nhờ vật liệu đa lớp mới)

Xuất sắc (Sống động như răng thật)

Độ dày mài răng

Ít (0.5mm - 1.0mm)

Nhiều (1.2mm - 1.5mm)

Chỉ định ưu tiên

Răng hàm, bệnh nhân có lực nhai mạnh

Răng cửa, yêu cầu thẩm mỹ cao

Thời gian chế tác

Nhanh hơn

Lâu hơn (Cần nghệ nhân đắp sứ)

4. Nên chọn loại nào cho phục hình?

Tại iMed Dental Lab, chúng tôi đưa ra lời khuyên dựa trên vị trí răng và thói quen sinh hoạt:

  • Chọn Sứ Nguyên Khối khi: Phục hình các răng hàm (răng 6, răng 7) cần sức chịu tải lớn, hoặc cho bệnh nhân có thói quen nghiến răng. Hiện nay, các dòng Zirconia đa lớp (Multi-layer) tại iMed đã cải thiện đáng kể độ thẩm mỹ, có thể dùng cho cả răng cửa nếu bác sĩ muốn ưu tiên độ bền.
  • Chọn Sứ Đắp Lớp khi: Phục hình 4-6 răng cửa hàm trên, nơi thẩm mỹ là yếu tố sống còn. Sự kết hợp giữa sườn Zirconia cứng chắc và lớp sứ đắp tinh tế sẽ mang lại nụ cười rạng rỡ nhất.

Tại sao nên chọn gia công tại iMed Dental Lab?

Chúng tôi hiểu rằng mỗi phục hình là một tác phẩm nghệ thuật và kỹ thuật:

  1. Vật liệu chính hãng: Sử dụng 100% phôi sứ từ các thương hiệu hàng đầu thế giới (Ivoclar, Lava, Cercon...).
  2. Công nghệ hiện đại: Hệ thống CAD/CAM tiên tiến đảm bảo độ chính xác đến từng micron.
  3. Đội ngũ nghệ nhân: Kỹ thuật viên đắp sứ tay nghề cao, am hiểu về hình thể và màu sắc răng.

Liên hệ ngay với iMed Dental Lab để được tư vấn giải pháp phục hình tối ưu cho phòng khám của bạn!

iMed Dental Lab - Đối tác tin cậy của các Nha sĩ chuyên nghiệp

  • Địa chỉ: Tầng 3, tòa nhà 125 Hoàng Ngân - Trung Hòa - Cầu Giấy - Hà Nội.

Hotline: 0973 756 446.

Bình luận:

icon Hotline icon Zalo icon Email