SỨ DDBIO (ĐỨC): TẠI SAO ĐÂY LÀ LỰA CHỌN PHỤC HÌNH "QUỐC DÂN" CHO MỌI PHÒNG KHÁM?

SỨ DDBIO (ĐỨC): TẠI SAO ĐÂY LÀ LỰA CHỌN PHỤC HÌNH "QUỐC DÂN" CHO MỌI PHÒNG KHÁM?

2026-04-09 2

Trong bản đồ vật liệu nha khoa đa dạng hiện nay, sứ DDbio từ tập đoàn Dental Direkt (Đức) vẫn vững vàng ở vị trí "ngôi vương" trong phân khúc phục hình trung cấp. Không quá xa xỉ như các dòng sứ cao cấp nhưng lại vượt trội hơn hẳn các dòng sứ phổ thông, DDbio chính là giải pháp "vàng" mà mọi nha sĩ đều tin dùng.

Tại sao dòng sứ này lại được mệnh danh là lựa chọn "quốc dân"? Hãy cùng iMed Dental Lab giải mã ngay trong bài viết này.

1. Nguồn gốc từ "Cái nôi" nha khoa thế giới – Dental Direkt (Đức)

Chất lượng Đức luôn là bảo chứng cho sự bền bỉ và chính xác. Sứ DDbio được sản xuất bởi Dental Direkt – nhà sản xuất vật liệu Zirconia hàng đầu thế giới.

Điểm khác biệt cốt lõi nằm ở công nghệ ép tĩnh điện đẳng tĩnh. Quy trình này giúp các hạt bột Zirconia được nén đồng nhất, loại bỏ hoàn toàn các lỗ rỗng siêu vi. Kết quả là những phôi sứ có cấu trúc phân tử cực kỳ ổn định, giúp kỹ thuật viên tại Labo dễ dàng thao tác mà không lo rủi ro nứt vỡ trong quá trình nung.

Screenshot-2026-04-09-172810

2. 5 Lý do sứ DDbio thống trị các phòng khám nha khoa

2.1. Độ bền cơ học "thách thức" thời gian

Với độ bền uốn lên đến 1200 MPa, sứ DDbio có khả năng chịu lực cao gấp nhiều lần răng thật.

  • Chỉ định rộng rãi: Từ mão đơn lẻ, cầu răng dài cho đến phục hình trên Implant.
  • Độ bền: Khách hàng có thể thoải mái ăn nhai mà không lo sứt mẻ hay mài mòn đối kháng
    grafik_kausimulation_en-jpg

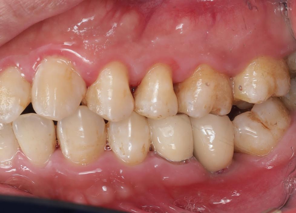
2.2. Tính thẩm mỹ tự nhiên, không đen viền nướu

Khác với các dòng sứ kim loại truyền thống, DDbio là dòng sứ Full Zirconia 100%.

  • Độ xuyên sáng lý tưởng: Giúp răng sứ có độ trong, bóng và chiều sâu giống hệt răng thật.
  • Tính trơ hóa học: Không bị oxy hóa trong môi trường miệng, đảm bảo tuyệt đối không gây đen viền nướu sau nhiều năm sử dụng.
    z7708189808543_bfb771bc440e3ff1e3694c13dec565a7

2.3. Độ chính xác tuyệt đối nhờ công nghệ CAD/CAM

Tại iMed Dental Lab, phôi sứ DDbio được xử lý trên hệ thống CAD/CAM hiện đại.

  • Sát khít vi kẽ: Độ chính xác ở mức micron giúp răng sứ ôm sát cùi răng thật.
  • Tiết kiệm thời gian: Bác sĩ hầu như không cần điều chỉnh nhiều trên lâm sàng, giúp rút ngắn thời gian điều trị cho bệnh nhân.

2.4. Tính tương hợp sinh học hoàn hảo

Vật liệu DDbio đạt các chứng nhận y tế khắt khe nhất của Châu Âu (CE). Sứ hoàn toàn lành tính, không gây kích ứng mô mềm và có khả năng cách nhiệt tốt, giúp bệnh nhân không bị ê buốt khi sử dụng thực phẩm nóng hoặc lạnh.

2.5. Chi phí tối ưu – Hiệu quả kinh tế cao

Đây chính là lý do then chốt khiến DDbio trở thành dòng sứ "quốc dân". DDbio mang đến chất lượng tiêu chuẩn Đức nhưng mức giá lại cực kỳ dễ tiếp cận. Điều này giúp phòng khám dễ dàng tư vấn cho nhiều đối tượng khách hàng khác nhau mà vẫn đảm bảo lợi nhuận và uy tín.

3. iMed Dental Lab – Đối tác cung ứng sứ DDbio uy tín hàng đầu

Một phôi sứ tốt cần một quy trình chế tác chuẩn xác. iMed Dental Lab tự hào là đơn vị đồng hành cùng hàng trăm phòng khám với dòng sứ DDbio chính hãng:

  • Cam kết phôi sứ chính hãng: 100% phôi nhập khẩu từ Dental Direkt (Đức), có thẻ bảo hành và mã QR truy xuất nguồn gốc.
  • Đội ngũ Kỹ thuật viên tay nghề cao: Từng chiếc răng đều được tinh chỉnh tỉ mỉ về hình thể và màu sắc để đạt độ tự nhiên nhất.
  • Tiến độ nhanh chóng: Quy trình sản xuất tối ưu, đáp ứng lịch hẹn gấp của phòng khám.

iMed Dental Lab không chỉ cung cấp răng sứ, chúng tôi cung cấp sự an tâm cho Bác sĩ và nụ cười rạng rỡ cho Bệnh nhân.

iMed Dental Lab - Đối tác tin cậy của các Nha sĩ chuyên nghiệp

  • Địa chỉ: Tầng 3, tòa nhà 125 Hoàng Ngân - Trung Hòa - Cầu Giấy - Hà Nội.
  • Hotline: 0973 756 446.

Bình luận:

icon Hotline icon Zalo icon Email